Log in
Sign up for FREE
arrow_back
Library
Blood Quiz
By Amanda Ryan
star
star
star
star
star
Share
share
Last updated about 2 months ago
31 questions
Add this activity
1
3
3
3
3
3
3
3
1
1
1
1
1
1
3
1
1
1
1
1
1
1
1
1
1
1
1
Question 1
1.
As a student of character, I have neither given or received unauthorized aid on this assessment.
True
False
Question 2
2.
Question 3
3.
Question 4
4.
Question 5
5.
Question 6
6.
Question 7
7.
Question 8
8.
Question 9
9.
What percentage of blood is composed of plasma?
40
45
50
55
Question 10
10.
What is the name of the stem cell that creates the erythrocytes, leukocytes, and thrombocytes?
cytoblast
hemoblast
hemopoesis
hemocytoblast
Question 11
11.
Question 12
12.
What is the name of the waste molecule created from the breakdown of erythrocytes?
urine
bile
bilirubin
feces
Question 13
13.
What organ secretes erythropoietin (EPO)?
Question 14
14.
Which hematocrit value is in the middle of the range for males?
Question 15
15.
Question 16
16.
Which leukocyte's function is to phagocytize bacteria?
Question 17
17.
Which leukocyte's function is to attack viruses?
Question 18
18.
Which leukocyte's function is to destroy parasitic worms?
Question 19
19.
Which leukocyte's function is to release histamine and heparin?
Question 20
20.
Which leukocyte targets all types of pathogens?
Question 21
21.
Which blood type(s) will contain plasma with Anti-B antibodies?
A
B
AB
O
Question 22
22.
Question 23
23.
Question 24
24.
Question 25
25.
Question 26
26.
Question 27
27.
28
zoom_in
1
29
zoom_in
1
30
zoom_in
1
31
zoom_in
1
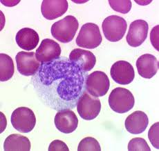
What blood cells are shown here? Choose all correct answers.
neutrophil
lymphocyte
monocyte
eosinophil
basophil
leukocyte
erythrocyte
white blood cell
red blood cell
granulocyte
agranulocyte
What blood cells are shown here? Choose all correct answers.
neutrophil
lymphocyte
monocyte
eosinophil
basophil
leukocyte
erythrocyte
white blood cell
red blood cell
granulocyte
agranulocyte
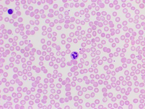
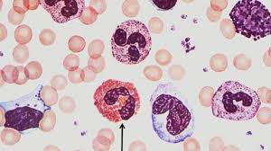
What blood cell is shown here indicated with a black arrow? Choose all correct terms for the cell indicated with the black arrow.
neutrophil
lymphocyte
monocyte
eosinophil
basophil
leukocyte
erythrocyte
white blood cell
red blood cell
granulocyte
agranulocyte
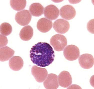
What blood cells are shown here? Choose all correct answers.
neutrophil
lymphocyte
monocyte
eosinophil
basophil
leukocyte
erythrocyte
white blood cell
red blood cell
granulocyte
agranulocyte
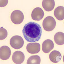
What blood cell is shown here? Choose all correct answers.
neutrophil
lymphocyte
monocyte
eosinophil
basophil
leukocyte
erythrocyte
white blood cell
red blood cell
What blood cells are shown here? Choose all correct answers.
neutrophil
lymphocyte
monocyte
eosinophil
basophil
leukocyte
erythrocyte
white blood cell
red blood cell
granulocyte
agranulocyte
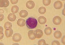
What blood cells are shown here? Choose all correct answers.
neutrophil
lymphocyte
monocyte
eosinophil
basophil
leukocyte
erythrocyte
white blood cell
red blood cell
granulocyte
agranulocyte
What two organs filter out dead erthrocytes?
stomach
liver
lungs
spleen
large intestine
small intestine
liver
gallbladder
kidney
large intestine
lung
small intestine
30
35
40
47
50
60
What three cells are shown here? Choose all correct responses.
red blood cell
white blood cell
erythrocyte
leukocyte
neutrophil
lymphocyte
monocyte
eosinophil
basophil
T-lymphocyte
B-lymphocyte
basophils
eosinophil
neutrophil
monocyte
eosinophil
B-lymphocyte
basophils
neutrophil
monocyte
T-lymphocyte
basophils
B-lymphocyte
neutrophil
eosinophil
monocyte
T-lymphocyte
B-lymphocyte
neutrophil
basophils
T-lymphocyte
eosinophil
monocyte
eosinophil
basophils
T-lymphocyte
monocyte
B-lymphocyte
neutrophil
Which blood type(s) can donate to all other blood types/universal donor?
A-
B-
AB-
O-
A+
B+
AB+
O+
Which blood type has only B antigens and the Rh factor?
A-
B-
AB-
O-
A+
B+
AB+
O+
Which blood type(s) can recieve O+ blood in a transfusion?
A-
B-
AB-
O-
A+
B+
AB+
O+
Which blood type(s) can receive A- blood in a transfusion?
A-
B-
AB-
O-
A+
B+
AB+
O+
What blood type is shown below?
A+
A-
B+
B-
AB+
AB-
O+
O-
What blood type is shown below?
A+
A-
B+
B-
AB+
AB-
O+
O-
Question 28
28.
Question 29
29.
Question 30
30.
Question 31
31.
A+
A-
B+
B-
AB+
AB-
O+
O-
A+
A-
B+
B-
AB+
AB-
O+
O-
A+
A-
B+
B-
AB+
AB-
O+
O-
A+
A-
B+
B-
AB+
AB-
O+
O-