Log in
Sign up for FREE
arrow_back
Library
Kidney Quiz
By S Tully
star
star
star
star
star
Share
share
Last updated over 5 years ago
6 questions
Add this activity
1
1
1
1
1
1
Question 1
1.
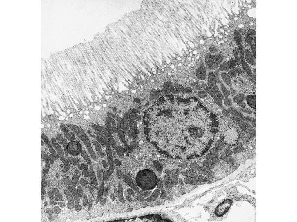
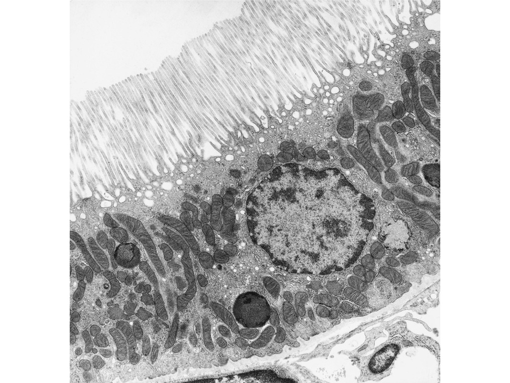
What process happens in this region of the nephron?
Selective reabsorption
Water conservation
Ultrafiltration
Osmoregulation
Question 2
2.
The cells in the photograph are found in which region of the nephron?
Glomerulus
Bowman's Capsule
Question 3
3.
Squamous cells to reduce the diffusion distance
Question 4
4.
Deamination in the liver initially produces
ammonia
arginine
urea
uric acid
Question 5
5.
The osmotic concentration of urine is controlled by ADH. In which part of the nephron does this occur?
Glomerulus
Proximal convoluted tubule
Loop of Henle (descending limb)
Question 6
6.
During the formation of urine in the nephron most water is reabsorbed into the blood in the
proximal convoluted tubule
loop of henle
distal convoluted tubule
collecting duct
Loop of Henle
Collecting Duct
Proximal convoluted tubule
Which of the following statements about the cells in the photograph are correct?
Numerous mitochondria to produce ATP for active transport
Good blood supply to maintain the concentration gradient for diffusion of urea
Plasma membrane is folded into microvilli to increase the surface area for carrier proteins for facilitated diffusion and active transport
Infoldings of basal membrane to increase the surface area
The photograph was taken using a scanning electron microscope
Loop of Henle (ascending limb)
Collecting duct