Log in
Sign up for FREE
arrow_back
Library

Unit 2 Review cloned 11/17/2020

star
star
star
star
star
Last updated almost 5 years ago
58 questions
1
1
1
1
1
1
1
1
1
1
1
1
1
1
1
1
1
1
1
1
1
1
1
1
1
1
1
1
1
1
1
1
1
1
1
1
1
1
1
1
1
1
1
1
1
1
1
1
1
1
1
1
1
1
1
2
Question 1
1.

Which type of bone is seen in the following image?

Question 2
2.

Which type of bone mostly serves as protection as it is platelike with broad surfaces?

Question 3
3.

Question 4
4.

Which correct # & term is pointing to the expanded end of long bone furthest from the point of attachment? (Check that the term is matched to the correct #)

Question 5
5.

Which correct # & term is pointing to the place where fat is stored. (Check that the term is matched to the correct #)

Question 6
6.

All of the following are true of red marrow EXCEPT.

Question 7
7.

The cuticle of the hair is the outermost layer of the hair surrounding the cortex and medulla. The cuticle is similar to the _____________ and _____________ of a long bone which encase the bone.

Question 8
8.

All of the following are functions of the skeletal system except.....

Question 9
9.

Which skeletal division has mostly flat & irregular bones for protection & support?

Question 10
10.

How many bones are in the adult human body?

Question 11
11.

In this image you can see only 1 full ________________.

Question 12
12.

Question 13
13.

Question 14
14.

Question 15
15.

Question 16
16.

Question 17
17.

Bone matrix is composed of an inorganic component called ____________ which makes up 65%.

Question 18
18.

Question 19
19.

Question 20
20.

Question 21
21.

Question 22
22.

Name the highlighted bone.

Question 23
23.

Put the following in order from LEAST movable to MOST movable. Fibrous, Synovial, Cartilaginous

Question 24
24.

Question 25
25.

Osteoarthritis is defined as "A type of arthritis that occurs when flexible tissue at the ends of bones wears down.
The wearing down of the protective tissue at the ends of bones occurs gradually and worsens over time. It causes symptoms such as joint pain in the hands, neck, lower back, knees, or hips"

When a person has osteoarthritis, which part of a synovial joint is being worn down?

Question 26
26.

Tennis elbow is defined as: "Inflammation of the fluid-filled pads that act as cushions at the joints.
It often occurs in people that perform frequent repetitive motion. Symptoms include pain, swelling, and stiffness. Treatment includes rest, ice, and pain relievers. Surgery is rarely needed."

Which part of a synovial joint is inflamed when a person has tennis elbow?

Question 27
27.

Johnny is running at soccer practice and all of a sudden falls down in pain. He is brought into the athletic trainer. The trainer describes his condition as "You have a tear in your knee joint that has resulted in overstretching of the tissue that holds your femur bone and tibia together. "

Which part of a synovial joint did Johnny injur?

1
1
Question 30
30.

Question 31
31.

You are doing jumping jacks. What joint found both in the shoulder and hip allows for the wide range of motion in your arms and legs during this movement?

Question 32
32.

You are in watching a scary movie. At scariest part, you hear a noise outside. Sitting on your couch, you turn your head to look behind you out the window. What joint between the atlas and axis allows you to perform this motion?

Question 33
33.

You are doing tricep dips during practice. What joint connecting your ulna and radius to your humerus. allows for this motion?

Question 34
34.

Ball and socket joints, pivot joints, hinge joints, gliding joints, saddle joints, and condyloid joints are all examples of

Question 35
35.

Question 36
36.

Question 37
37.

Question 38
38.

Question 39
39.

Identify the class of lever

Question 40
40.

Identify the RESISTANCE in this image.

Question 41
41.

Identify the EFFORT in this lever system

Question 42
42.

Question 43
43.

Identify the resistance.

Question 44
44.

Identify the lever class

Question 45
45.

Which properly shows the set up to calculate the mechanical advantage for this lever system?

Question 46
46.

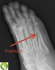
This child was playing soccer and missed the ball, kicking a bleacher instead. What type of fracture did she experience? (it is the same for each bone shown)

Question 47
47.

Elysia was the star tennis player on both her high school and college team. Eventually the cusions of her elbow joint became extremely swollen and painful. Elysia has...

Question 48
48.

This person has a lot of swelling at their joints as a result of an autoimmune disorder. They have...

Question 49
49.

This person dropped a 60 pound kettlebell on their foot. As they tried to lift their foot, they tumbled sideways and heard a loud crack. What type of injury is this?

Question 50
50.

The following shows....

Question 51
51.

Question 52
52.

Question 53
53.

Which of the following is shown in the joint below?

Question 54
54.

Your friend just drank an entire gallon of milk as you walked home from school together. What bone cells will be hard at work in her body?

Question 55
55.

It has been a few weeks since you had any calcium. What glands are going to be busy?

Question 56
56.

Question 57
57.

You go to the doctors for your third broken bone this year. Your doctor highly advises you start drinking milk with each meal. You tell her you already do! What could be the cause of your frequently broken bones?

Question 58
58.

List two uses for calcium in the body other than hardening bones as calcium phosphate.

Which of the following bones would be found in the appendicular skeleton? Select all that apply!
tarsals
skull
vertebrae
sternum
phalanges
femur, tibia, fibula
ribs
ulna, radius, humerus
#9: diaphysis
#10: proximal epiphysis
#8: proximal epiphysis
#4: yellow marrow
#5: medullary cavity
#6: periosteum
periosteum, medullary cavity
endosteum, periosteum
articular cartilage, diaphysis
periosteum, epiphysis
epiphysis, diaphysis
periosteum, articular cartilage
sending signals
inorganic salt storage
support
hematopoeisis
protection
movement
306
80
206
300
126
200
Haversian System
Lacuna
Osteocyte
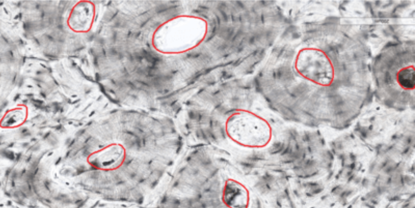
Identify the structures circled in red (Hint: Notice where they are located!)
Medullary Cavity
Osteocyte
Haversian canal
Osteon
Lamella
Lacuna
Volkmann's canal
Identify the structures circled in red

Medullary Cavity
Volkmann's canal
Osteocyte
Lamella
Haversian canal
The structures circled in blue, through which blood vessels and nerves pass, are called....

Osteocyte
Volkmann's canal

Haversian canal
Osteon
Lamella
Medullary Cavity
Identify the structures at the red arrows (Hint: these are the antennae like projections from osteocytes.)

Volkmann's canal
Osteocyte
Canaliculi
Lamella
Osteon
Medullary Cavity
Haversian canal
The circles of lacuna and bony matrix located around a central canal form LAYERS known as the:
Osteocyte
Haversian canal
Osteon
Volkmann's canal
Medullary Cavity
Canaliculi
Lamellae
Melanin
Phosphorous
What number is labeling the scapula?
1
2
3
4
5
6
7
8
What number is labeling the humerus
1
2
3
4
5
6
7
8
What number is labeling the ulna? (hint: This is a posterior view)
1
2
3
4
5
6
7
8
The digitals are to the phalanges, as the palmar are to the ____________
zygomatic
metacarpals
humerus
ulna
carpals
tarsals
metatarsals
patella
radius
ilium
Select the three that are correctly matched.
The joint connecting the ulna and the humerous---> cartilaginous
The joint between the phalanges and metacarpals--> fibrous
The pubic symphisis joint connecting the pubic bones---> cartilaginous
The joint connecting the femur and the pubic bones at the acetabulum--> synovial
The joints between all vertebrae (except atlas and axis)---> synovial
Suture joints in the skull---> fibrous
synovial fluid
joint capsule
articular cartilage
bursa
joint capsule
articular cartilage
synovial fluid
ligaments
articular cartilage
ligament
joint capsule
Question 28
28.

Number 6 labels....

Question 29
29.

Number 7 labels....

Right before you started this quiz your teacher asked....."Are you ready to start your quiz?". You quickly give a giant thumbs up as you have been studying efficiently and feel VERY ready. What joint connecting your thumb and metacarpals allows you to give this thumbs up?

Gliding
Saddle
Hinge
Ball and Socket
Pivot
Hinge
Ball and Socket
Gliding
Condyloid
Pivot
Saddle
Gliding
Ball and Socket
Pivot
Saddle
Hinge
Condyloid
Saddle
Ball and Socket
Gliding
Condyloid
Hinge
Pivot
Identify the joint action being performed
Inversion
Extension
Supination
Pronation
Adduction
Dorsiflexion
Rotation
Circumduction
Abduction
Plantar flexion
Flexion
Eversion
Identify the joint action performed when someone shakes there head no.
Plantar flexion
Rotation
Eversion
Extension
Adduction
Abduction
Flexion
Supination
Dorsiflexion
Pronation
Inversion
Circumduction
Identify the joint action performed.
Eversion
Extension
Rotation
Inversion
Circumduction
Adduction
Pronation
Plantar flexion
Flexion
Abduction
Dorsiflexion
Supination
Identify the 2 joint actions performed as someone does jumping jacks. (think in relation to the midline)

Inversion
Pronation
Extension
Supination
Dorsiflexion
Adduction
Eversion
Plantar flexion
Flexion
Circumduction
Rotation
Abduction
The lever system shown using the bicep muscle is a ________ class lever, and the lever system shown using the tricep is a ________ class lever.
3rd, 1st
2nd, 3rd
3rd, 3rd
2nd, 2nd
2nd, 1st
1st, 1st
1st, 2nd
1st, 3rd
3rd, 2nd
Comminuted
Fissure
Spiral
Transverse
Greenstick
Dislocation
rheumatoid arthritis
bursitis
sprain
bursitis
rheumatoid arthritis
lyme arthritis
Dislocation
Oblique Fractue
Greenstick Fracture
Comminuted Fracture
Fissure
Transverse Fracture
A sprain caused by a torn ligament
A sprain caused by a torn tendon
Transverse Fracture
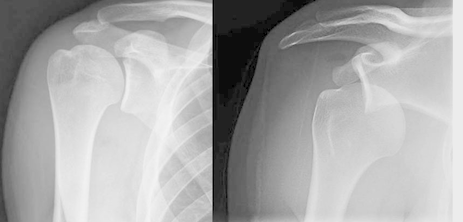
This person was pitching for softball when all of a sudden something didn't feel quite right and her arm was hanging a funny way... Which of the following best describes this shoulder injury?
Transverse
Dislocation
Comminuted
Spiral
Oblique
Fissure
Greenstick
Sprain
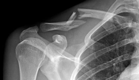
This person was at football practice and dropped a barbell as they were doing bench presses on heavy weight day. Which of the following best describes this clavicle injury?

Fissure
Comminuted
Greenstick
Dislocation
Spiral
Oblique
Transverse
Sprain
bursitis
osteoarthritis
sprain
The thyroid gland secretes __________ when calcium levels are __________________.
parathyroid hormone, low
parathyroid hormone, high
calcitonin, low
thyroid hormone, low
growth hormone, high
growth hormone, low
thyroid hormone, high
calcitonin, high
Joint Capsule
Articular Cartilage
Joint Capsule
Ligament