Karyotype LESSON and Virtual Lab PREP
star
star
star
star
star
Last updated about 5 years ago
0 questions
Overview/Resumen
A karyotype is an organized profile of a person's chromosomes. Two chromosomes specify gender, XX for female and XY for male. The rest are arranged in pairs, numbered 1 through 22, from largest to smallest. This arrangement helps scientists quickly identify chromosomal alterations that may result in a genetic disorder.
Un cariotipo es un perfil organizado de los cromosomas de una persona. Dos cromosomas especifican el género, XX para la mujer y XY para el hombre. El resto está organizado en pares, numerados del 1 al 22, de mayor a menor. Esta disposición ayuda a los científicos a identificar rápidamente las alteraciones cromosómicas que pueden resultar en un trastorno genético.
Karyotype preparation and analysis/Preparación y análisis de cariotipo
Cells (from blood, amniotic fluid, etc.) are grown in vitro (in a cell culture dish) to increase their number. In other words, the samples are cultured to induce mitosis so that the chromosomes become visible. Cell division is then arrested in metaphase with colchicine (which prevents the mitotic spindle from forming). Cells are centrifuged and lysed to release chromosomes. Chromosomes are stained, photographed, and grouped by size and banding patterns. This involves the precise measurements of chromatid length ratios and other morphological features so that they can be placed into their homologous pairs.
Las células (de sangre, líquido amniótico, etc.) se cultivan in vitro (en una placa de cultivo celular) para aumentar su número. En otras palabras, las muestras se cultivan para inducir la mitosis de modo que los cromosomas se hagan visibles. Luego, la división celular se detiene en metafase con colchicina (que evita la formación del huso mitótico). Las células se centrifugan y lisan para liberar cromosomas. Los cromosomas se tiñen, fotografían y agrupan por tamaño y patrones de bandas. Esto implica las mediciones precisas de las relaciones de longitud de las cromátidas y otras características morfológicas para que puedan colocarse en sus pares homólogos.
= = = = = = = = = = = = = = = = = = = = = = = = = = = = = = = = = = = = = = = = = = = = = = = = = = = = = = = = = = = = = = =
Check out this overview from our friends, the Amoeba Sisters.
Echa un vistazo a este resumen de nuestras amigas, las Amoeba Sisters.
= = = = = = = = = = = = = = = = = = = = = = = = = = = = = = = = = = = = = = = = = = = = = = = = = = = = = = = = = = = = = = =
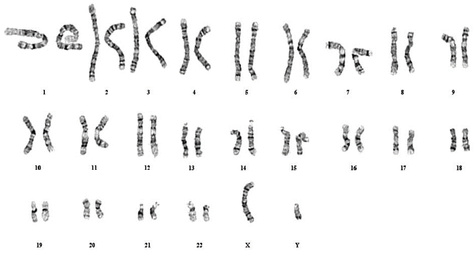
Here are images of a human karyotype. Remember, a karyotype is an image of the 46 human chromosomes in a somatic cell, arrested in metaphase and arranged in size order (chromosomes 1-22), then by the chromosomes determining gender last (chromosome pair 23). Can you see that they are duplicated sister chromatids? Can you identify the male versus female? Do you see any evidence of aneuploidy in either karyotype?
Aquí hay imágenes de un cariotipo humano. Recuerde, un cariotipo es una imagen de los 46 cromosomas humanos en una célula somática, detenidos en metafase y dispuestos en orden de tamaño (cromosomas 1-22), luego por los cromosomas que determinan el género en último lugar (par de cromosomas 23). ¿Puedes ver que son cromátidas hermanas duplicadas? ¿Puedes identificar al hombre frente a la mujer? ¿Ve alguna evidencia de aneuploidía en cualquiera de los cariotipos?
= = = = = = = = = = = = = = = = = = = = = = = = = = = = = = = = = = = = = = = = = = = = = = = = = = = = = = = = = = = = = = =
Let's talk about key characteristics that will help you successfully match each chromosome with its homologous pair.
Hablemos de las características clave que le ayudarán a emparejar con éxito cada cromosoma con su par homólogo.
Size: All autosomes are similar to each other in size/length. Leaving chromosome pair 23 last is best because you will not have a homologous pair if the patient is a male.
Tamaño: Todos los autosomas son similares entre sí en tamaño / longitud. Es mejor dejar el par de cromosomas 23 al final porque no tendrá un par homólogo si el paciente es un hombre.
Shape: The centromere's location tends to create a specific "bend" in a chromatid. This can help you match up each homologous pair.
Forma: la ubicación del centrómero tiende a crear una "curva" específica en una cromátida. Esto puede ayudarlo a emparejar cada par homólogo.
Banding: Condensed chromosomes are prepared for karyotyping with a Giemsa dye. The dye stains regions of chromosomes that are rich in the base pairs Adenine (A) and Thymine (T) producing a dark band.
Anillado: los cromosomas condensados se preparan para el cariotipo con un tinte de Giemsa. El tinte tiñe las regiones de los cromosomas que son ricas en los pares de bases adenina (A) y timina (T) produciendo una banda oscura.
So, your analysis will involve comparing chromosomes for their length, the placement of centromeres (areas where the two chromatids are joined), and the location and sizes of G-bands.
Por lo tanto, su análisis implicará comparar los cromosomas por su longitud, la ubicación de los centrómeros (áreas donde se unen las dos cromátidas) y la ubicación y los tamaños de las bandas G.
Let's practice matching up chromosomes to create a karyotype. Know that a cytogeneticist will have a jumble of all 46 chromosomes (23 pairs). We'll have a "cheat sheet" of half of the chromosomes already put in place. All you have to do is compare and pair!
Practiquemos emparejar cromosomas para crear un cariotipo. Sepa que el citogenecista tendrá una mezcla de los 46 cromosomas (23 pares). Tendremos una "hoja de trucos" de la mitad de los cromosomas ya colocados. ¡Todo lo que tienes que hacer es comparar y emparejar!
Click here to get to the activity: Matching up Chromosomes in a Karyotype
Haga clic aquí para acceder a la actividad: Emparejar Cromosomas en un Cariotipo
```````````````````````````````````````````````````````````````````````````````````````
*** Please note this is a Flash activity. You must enable Flash on your Chromebook (or personal device) in order to run the activity. Forgot how? Watch this quick video: Enable Flash
*** Tenga en cuenta que esta es una actividad Flash. Debe habilitar Flash en su Chromebook (o dispositivo personal) para ejecutar la actividad. ¿Olvidaste cómo? Mira este video rápido: Enable Flash
```````````````````````````````````````````````````````````````````````````````````````
===========================================================================================
Flash Player is incompatible with cell phones and most tablets. Please print out the PDF version of this activity and complete it manually.
Flash Player no es compatible con teléfonos móviles y la mayoría de tabletas. Imprima la versión PDF de esta actividad y complétela manualmente.

===========================================================================================
What are centromeres for?/¿Para qué sirven los centrómeros?
Centromeres are required for chromosome separation during cell division. The centromeres are attachment points for microtubules, which are protein fibers that pull duplicate chromosomes toward opposite ends of the cell before it divides. This separation ensures that each daughter cell will have a full set of chromosomes.
Each chromosome has only one centromere.
Los centrómeros son necesarios para la separación de los cromosomas durante la división celular. Los centrómeros son puntos de unión para los microtúbulos, que son fibras proteicas que tiran de los cromosomas duplicados hacia los extremos opuestos de la célula antes de que se divida. Esta separación asegura que cada célula hija tenga un juego completo de cromosomas.
Cada cromosoma tiene un solo centrómero.
During cell division, microtubules attach to centromeres and pull the chromosomes to opposite ends of the cell.
What are centromeres for? Durante la división celular, los microtúbulos se unen a los centrómeros y tiran de los cromosomas hacia los extremos opuestos de la célula.
When all goes well, we have haploid cells resultant of meiosis that occurred without any errors.
Cuando todo va bien, tenemos células haploides resultantes de la meiosis que ocurrió sin ningún error.
Alterations in chromosome number
Alteraciones en el número de cromosomas
Nondisjunction occurs when either homologues fail to separate during anaphase I of meiosis, or sister chromatids fail to separate during anaphase II. The result is that one gamete has 2 copies of one chromosome and the other has no copy of that chromosome. (The other chromosomes are distributed normally.) If either of these gametes unites with another during fertilization, the result is aneuploidy (abnormal chromosome number).
La no disyunción ocurre cuando los homólogos no se separan durante la anafase I de la meiosis o las cromátidas hermanas no se separan durante la anafase II. El resultado es que un gameto tiene 2 copias de un cromosoma y el otro no tiene copia de ese cromosoma. (Los otros cromosomas se distribuyen normalmente). Si alguno de estos gametos se une con otro durante la fertilización, el resultado es una aneuploidía (número anormal de cromosomas).
* A trisomic cell has one extra chromosome (2n +1) = example: trisomy 21. (Polyploidy refers to the condition of having three homologous chromosomes rather than two.)
Una célula trisómica tiene un cromosoma adicional (2n +1) = ejemplo: trisomía 21. (La poliploidía se refiere a la condición de tener tres cromosomas homólogos en lugar de dos).
* A monosomic cell has one missing chromosome (2n - 1) = usually lethal except for one known in humans: Turner's syndrome (monosomy XO).
A una célula monosómica le falta un cromosoma (2n - 1) = generalmente letal, excepto uno conocido en humanos: el síndrome de Turner (monosomía XO).
===========================================================================================
How to Write a Notation of a Karyotype
Cómo escribir una notación de un cariotipo
Count the number of chromosomes in the karyotype. Write this number. In a normal human, the number will be 46.
Cuente el número de cromosomas en el cariotipo. Escribe este número. En un ser humano normal, el número será 46.
Determine the sex chromosomes, whether they are "XX" or "XY". If they are "XX", the subject is a female; "XY", the subject is a male. Write this combination next to the number after a comma. In a normal woman, this will look like this "46, XX".
Determine los cromosomas sexuales, ya sean "XX" o "XY". Si son "XX", el sujeto es una mujer; "XY", el sujeto es un hombre. Escribe esta combinación junto al número después de una coma. En una mujer normal, se verá así "46, XX".
Note any irregularities in the karyotype. If the karyotype has an extra 20th chromosome, write "47, XX, +20" indicating the subject is a woman with 47 chromosomes and the extra chromosome is in the 20th pair. Having three chromosomes in a pair is called "Trisomy." If there is an extra sex chromosome, write 47, then the sex chromosomes; for example, "47, XXX".
Note cualquier irregularidad en el cariotipo. Si el cariotipo tiene un cromosoma 20 adicional, escriba "47, XX, +20" indicando que el sujeto es una mujer con 47 cromosomas y el cromosoma adicional está en el par 20. Tener tres cromosomas en un par se llama "trisomía". Si hay un cromosoma sexual adicional, escriba 47, luego los cromosomas sexuales; por ejemplo, "47, XXX".
============================================================================================
What is the notation for this karyotype? ¿Cuál es la notación de este cariotipo?
47, XX,+13, Trisomy 13 OR 47, XX,+13, Patau Syndrome
(either is correct/Cualquiera es correcta)
============================================================================================
What is the notation for this karyotype? ¿Cuál es la notación de este cariotipo?
47, XXY, +23, Trisomy 23 OR 47, XXY, +23, Klinefelter Syndrome
(either is correct/Cualquiera es correcta)