Meiosis Practice
star
star
star
star
star
Last updated almost 5 years ago
24 questions
8
Match the number of each phase in the diagram above to the phase of meiosis that is shown.
Match the number of each phase in the diagram above to the phase of meiosis that is shown.
| Draggable item | arrow_right_alt | Corresponding Item |
|---|---|---|
| arrow_right_alt | Prophase I | |
| arrow_right_alt | Anaphase II | |
| arrow_right_alt | Metaphase I | |
| arrow_right_alt | Metapase II | |
| arrow_right_alt | Telophase/cytokinesis II | |
| arrow_right_alt | Anaphase I | |
| arrow_right_alt | Interphase | |
| arrow_right_alt | Prophase II |
1
Gametes are produced by the process of
Gametes are produced by the process of
1
Gametes have
Gametes have
1
What is shown in the image above? Hint it GREATLY increases the genetic variety of the gametes!
What is shown in the image above? Hint it GREATLY increases the genetic variety of the gametes!
1
Chromosomes form tetrads AKA homologous pairs during which phase?
Chromosomes form tetrads AKA homologous pairs during which phase?
1
At the end of meiosis, there are
At the end of meiosis, there are
1
How many chromosomes are in a human gamete?
How many chromosomes are in a human gamete?
1
If a eukaryotic cell has 20 chromosomes and it undergoes meiosis, how many cells will result, and how many chromosomes will they contain?
If a eukaryotic cell has 20 chromosomes and it undergoes meiosis, how many cells will result, and how many chromosomes will they contain?
1
Cells that are ________ possess a single set of chromosomes
Cells that are ________ possess a single set of chromosomes
1
You have homologous pairs of chromosomes in each of your cells. In what way are these pairs of chromosomes similar?
You have homologous pairs of chromosomes in each of your cells. In what way are these pairs of chromosomes similar?
1
From the list below, which choice represents a correct difference between sperm production and egg production?
From the list below, which choice represents a correct difference between sperm production and egg production?
1
At the end of meiosis II, the daughter cells created are ____.
At the end of meiosis II, the daughter cells created are ____.
1
Though the stages of meiosis have the same names as the stages of mitosis, they exhibit fundamental differences. What are the main differences between the two processes?
Though the stages of meiosis have the same names as the stages of mitosis, they exhibit fundamental differences. What are the main differences between the two processes?
1
Meiosis occurs to produce which type of cell or cells. Select ALL that are true!
Meiosis occurs to produce which type of cell or cells. Select ALL that are true!
1
An organism has 38 chromosomes in a body cell. After mitosis each cell has 38 chromosomes. After meiosis each gamete has ____________________ chromosomes.
An organism has 38 chromosomes in a body cell. After mitosis each cell has 38 chromosomes. After meiosis each gamete has ____________________ chromosomes.
1
An organism’s gametes have ____________________ the number of chromosomes found in the organism’s body cells.
An organism’s gametes have ____________________ the number of chromosomes found in the organism’s body cells.
1
Sister chromatids inside both cells get separated during this phase
Sister chromatids inside both cells get separated during this phase
1
Tetrads, or homologous pairs, line up along the equator during this phase
Tetrads, or homologous pairs, line up along the equator during this phase
1
At the end of meiosis I, ________ daughter cells are created.
At the end of meiosis I, ________ daughter cells are created.
1
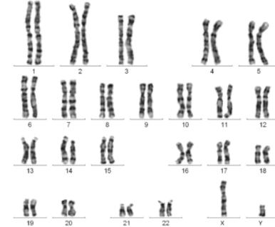
What can you tell about the person that this karyotype is from? Choose ALL that apply.
What can you tell about the person that this karyotype is from? Choose ALL that apply.
1
What can you tell about the person that this karyotype is from? Choose ALL that apply.
What can you tell about the person that this karyotype is from? Choose ALL that apply.
1
Why does meiosis have two cell divisions? (HINT: Think of chromosome number) Why is this important for reproduction?
Why does meiosis have two cell divisions? (HINT: Think of chromosome number) Why is this important for reproduction?
1
Explain why the daughter cells produced by meiosis are genetically different from each other, whereas the daughter cells produced by mitosis are not.
Explain why the daughter cells produced by meiosis are genetically different from each other, whereas the daughter cells produced by mitosis are not.
1
When in life does meiosis occur in girls? In boys?
When in life does meiosis occur in girls? In boys?


