Log in
Sign up for FREE
arrow_back
Library

2 What is Biology Practice

star
star
star
star
star
Last updated almost 5 years ago
13 questions
1
1
1
1
1
1
1
1
1
1
1
1
1
Use the information found below about each type of microscope to answer the following questions
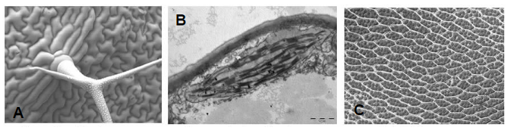
Look at the image below and answer the following questions
Question 1
1.

Look at the image above, which microscope was used for image A?

Question 2
2.

Look at the image above, which microscope was used for image B?

Question 3
3.

Look at the image above, which microscope was used for image C?

Question 4
4.

What microscope was used for this image? (image shows a honey bee)

Question 5
5.

What microscope was used for this image? (image shows the eye of a honey bee)

Question 6
6.

What microscope was used for this image? (image shows the eye of pollen, Hint: these are colored images)

Question 7
7.

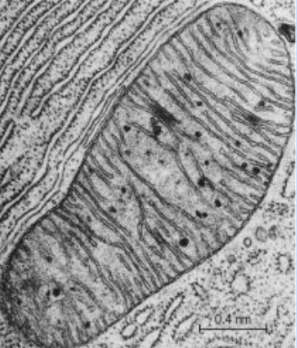
What microscope was used for this image? (image shows the inside of a mitochondrion)

Question 8
8.

The graph shows how the activity of an enzyme changes over a range of temperature values. Which of the following is the optimal (best) temperature for the ChesAdams (blue line) enzyme?

Question 9
9.

The graph shows how the activity of an enzyme changes over a range of temperature values. Which of the following is the optimal (best) temperature for the GlenKepple (pink line) enzyme?

Question 10
10.

The graph shows how the activity of an enzyme changes over a range of pH values. Which of the following conclusions can be drawn from this graph?

Question 11
11.

The following experiment was performed: Students watched the same cartoon either alone or with others and then rated how funny they found the cartoon to be. What was the Independent variable?

Question 12
12.

The following experiment was performed: Students watched the same cartoon either alone or with others and then rated how funny they found the cartoon to be. What was the dependent variable?

Question 13
13.

The following experiment was performed: Students watched the same cartoon either alone or with others and then rated how funny they found the cartoon to be. What was the control?

Light Microscope
The enzyme's activity is greater around pH of 8.0 than around pH of 5.0