Log in
Sign up for FREE
arrow_back
Library
3.1.1 Blood Vessels
By Nicole Gary
star
star
star
star
star
Share
share
Last updated about 1 month ago
14 questions
Add this activity
6
1
1
Question 11
11.
1
1
1
2
3
4
5
zoom_in
1
1
1
1
1
1
Question 7
7.
Question 8
8.
Arteries contain valves but veins do not
True
False
zoom_in
1
Question 9
9.
Which type of blood vessel is depicted here?
smooth
vein
zoom_in
1
Question 10
10.
Which type of blood vessel is depicted here?
vein
artery
The _______ artery supplies blood to the head, including the brain and face.
Question 12
12.
The _______ vein takes deoxygenated blood from the head back to the heart
Question 13
13.
Veins are made up of thick muscular walls to withstand high pressure from blood being pumped from the heart to the rest of the body.
True
False
zoom_in
2
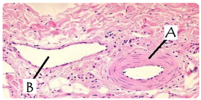
Question 14
14.
Blood Vessel A is a(n) _______ and blood vessel B is a(n) _______
Question 1
1.
What is this structure?
capillary
venule
vein
Question 2
2.
What is this structure?
capillary
artery
arteriole
Question 3
3.
What is this structure?
arteriole
artery
vein
Question 4
4.
What is this structure?
artery
vein
capillary
Question 5
5.
What is this structure?
artery
capillary
vein
Question 6
6.
In which structure does gas exchange occur?
1
2
3
Match the following
Artery
Vein
Capillary
have muscular walls, and a small lumen
have a large lumen, I have thin muscular walls
Pump blood away from the heart
pump blood towards the heart
Aorta is an example
tiny blood vessels that transport blood, nutrients and oxygen to cells in your organs and body systems
artery
capillary
smooth
capillary
artery
arteriole
vein
venule
venule
capillary
arteriole
venule
arteriole
venule
4
5