Unit 2: Cell Structure & Function Review (24/25)
star
star
star
star
star
Last updated about 1 year ago
11 questions
Cell Structure and Function Review HyperDoc
Goal: Review the Parts and Functions of Cells
Essential Questions you will be able to answer:
- How are plant and animal cells similar?
- How are plant and animal cells different?
- What does the cell theory state?
- How do cell structures contribute to the processes of cell division?
The Learning Goals:
- Compare and Contrast plant and animal cells.
- Explain the cell theory.
- Explain how cell structures contribute to the processes of mitosis and meiosis.
Required
1
Use these slides to learn about cell theory and why cells are small.
1. What are the three parts of the cell theory?
Use these slides to learn about cell theory and why cells are small.
1. What are the three parts of the cell theory?
Required
1
Why are cells so small?
Why are cells so small?
Required
4
View these slides to explore types of cells and their structures and functions.
Select the characteristics for each type of cell.
View these slides to explore types of cells and their structures and functions.
Select the characteristics for each type of cell.
- Ribosomes only present suspended in the cell's cyotplasm
- No nucleus
- Ribosomes suspended in the cell's cytoplasm or attached to the endoplasmic reticulum
- Has many organelles with membranes
- Nucleus present
- Organelles without a membrane.
- Has a cell wall
- Only some have cell walls
- PROKARYOTE
- EUKARYOTE
Required
6
Watch these two EdPuzzles: Prokaryotic vs. Eukaryotic and Introduction to Cells: The Grand Cell Tour (posted in Classroom) to categorize the following: (These EdPuzzles will also be worth their normal 5 pts. each.)
Drag each cell part to the correct category.
Watch these two EdPuzzles: Prokaryotic vs. Eukaryotic and Introduction to Cells: The Grand Cell Tour (posted in Classroom) to categorize the following: (These EdPuzzles will also be worth their normal 5 pts. each.)
Drag each cell part to the correct category.
- nucleus
- rough endoplasmic reticulum
- vesicle
- chloroplast
- cell membrane
- mitochondria
- smooth endoplasmic reticulum
- cell wall
- golgi apparatus
- ribosome
- cytoplasm
- vacuole
- Only Animal Cell
- Both Cells
- Only Plant Cells
Required
2
Use this interactive to explore cell size.a) How large is a mitochondrion?b) How large is one E. coli bacterial cell?c) How large is a human egg cell?
Use this interactive to explore cell size.
a) How large is a mitochondrion?
b) How large is one E. coli bacterial cell?
c) How large is a human egg cell?

Required
1
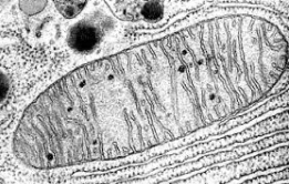
Examine this photomicrograph, taken with an electron microscope.Identify the organelle:
Examine this photomicrograph, taken with an electron microscope.
Identify the organelle:
Required
1
What is this function of this organelle?
What is this function of this organelle?

Required
1
Examine this photomicrograph, taken with an electron microscope.Identify the organelle:
Examine this photomicrograph, taken with an electron microscope.
Identify the organelle:
Required
1
What is this function of this organelle?
What is this function of this organelle?
Required
1
Examine this photomicrograph, taken with an electron microscope.Identify the organelle at the tip of the arrow:
Examine this photomicrograph, taken with an electron microscope.
Identify the organelle at the tip of the arrow:
Required
1
What is this function of this organelle?
What is this function of this organelle?