Brain Imaging
star
star
star
star
star
Last updated over 2 years ago
3 questions
1
Match the technique to its definition or example.
Match the technique to its definition or example.
| Draggable item | arrow_right_alt | Corresponding Item |
|---|---|---|
fMRI | arrow_right_alt | Follows radioactive sugar |
EEG | arrow_right_alt | Follows oxygen |
DTI | arrow_right_alt | 3D X-ray used to make 3-D models |
PET | arrow_right_alt | Just messed up in every conceivable way |
TMS | arrow_right_alt | B.A.M. |
CT | arrow_right_alt | Shows axon connections |
lesion | arrow_right_alt | Real-time electrical signature of whole brain. |
1
Which ones allow for brain function localization?
Which ones allow for brain function localization?
- PET
- fMRI
- CT
- TMS
- DTI
- Lesion
- EEG
- Yes
- No
1
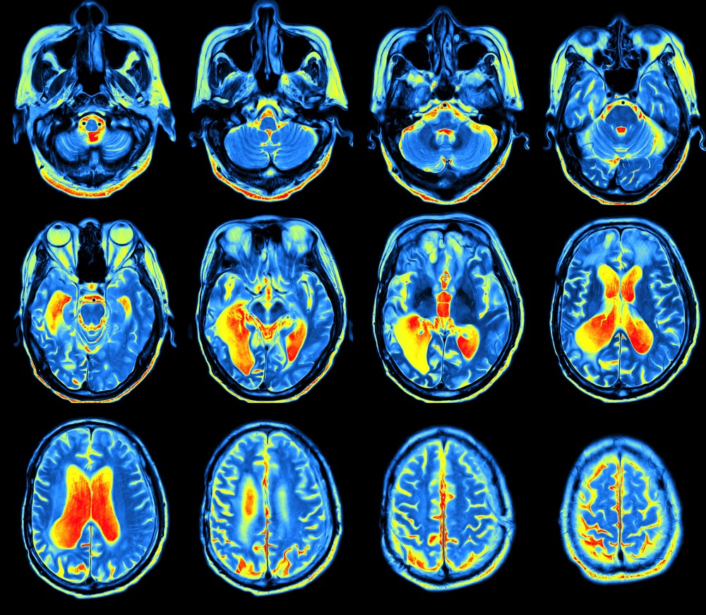
What am I looking at here?
What am I looking at here?