Log in
Sign up for FREE
arrow_back
Library

1.1.6: Break a Leg

star
star
star
star
star
Last updated 4 months ago
14 questions
2
1
1
4
8
6
1
1
1
1
1
1
6
Question 8
8.
Specialized cells called _______ deposit bone tissue, and cells called _______ resorb bone tissue.
Question 9
9.
If bone tissue is built too quickly, it can become weak and easily fractured. This is due to an increase in _______ activity.
Question 10
10.
In certain metabolic diseases such as osteoporosis, increased _______ activity causes increased bone resorption. This leads to weaker bones that are at risk for spontaneous fracture.
Question 11
11.

Question 12
12.

1
Question 14
14.
Question 1
1.

Question 2
2.

Question 3
3.

Question 4
4.

Question 5
5.

Question 6
6.

Question 7
7.

Draggable itemarrow_right_altCorresponding Item
arrow_right_alt
arrow_right_alt
arrow_right_alt
arrow_right_alt
arrow_right_alt
arrow_right_alt
Put the stages of bone remodeling in the correct order
The fibrocartilage callus is gradually replaced by one made of spongy bone. This new mass is referred to as the bony callus. Osteoclasts and osteoblasts move to the area and multiply.
New capillaries begin to form into the clotted blood in the damaged area. Connective tissues cells form a mass of repair tissue called a fibrocartilage callus. This callus contains some cartilage, some bone, and collagen fibers. The combined mass closes the gap between the broken bones.
Over the weeks and months to come, the callus is remodeled with the help of osteoclasts and osteoblasts. The shape of the bones will gradually return to normal, and there will eventually be little evidence of the fracture.
Blood vessels that are ruptured during the break swell to form a mass called a hematoma. This mass forms between the broken bones. This clotting reduces the blood supply to many of the cells in the area of injury, and as a result, these cells die.
Match the description to the type of fracture repair
can only be used on the shaft or midel
requires a large incision
can only be used on a few types of fractures
can be used on the proximal or distal end of a bone
requires a small incision
can be used on all types of fractures
higher rate of infection
lower rate of infection
Plating
Nailing
Question 13
13.

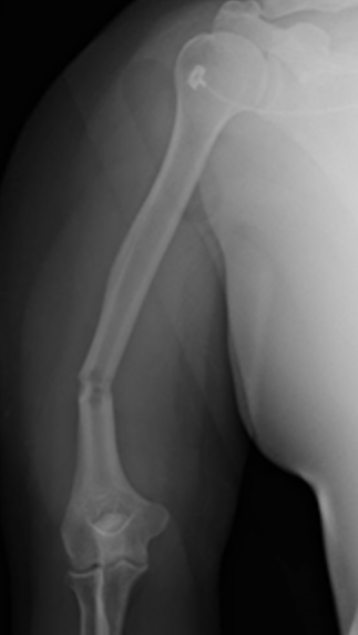
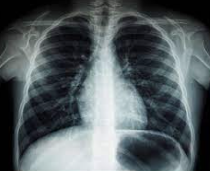
provide a two-dimensional image of the interior of the body; often used to provide images of the chest or broken bones
create an image of internal body structures such as tendons, muscles, joints, blood vessels, and internal organs; one of the few diagnostic imaging techniques that capture motion.
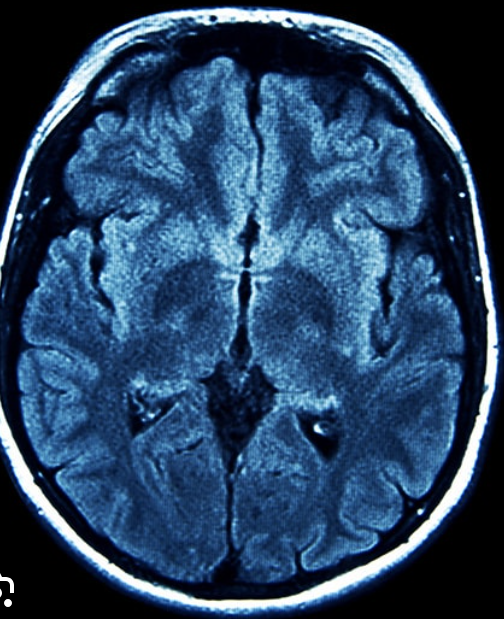
do not use radiation and can provide detail of very fine soft tissue; create images of the body using a large magnet and radio waves
X-Ray
Magnetic Resonance Imaging (MRI)
Ultrasound
Type of force that causes this type of fracture
twisting
impact
bending
Type of force that causes this type of fracture
impact
twisting
bending
Type of force that causes this type of fracture
impact
twisting
bending
Type of fracture shown here
comminuted
spiral
transverse
Type of fracture shown here
transverse
comminuted
spiral
Type of fracture shown here
comminuted
transverse
spiral
Match the structure with the correct letter
trochanteric region
B
Intra-articular
C
femoral head
E
shaft
G
femoral neck
D
condyles
F
Nailing would be the best choice of repair due to only needing small incisions and the fracture being located on the shaft of the bone.
True
False