Fractures
star
star
star
star
star
Last updated about 1 year ago
16 questions
2
Match the correct description of the X-ray fracture to the image.

Other Answer Choices:
Fracture caused by direct impact to the leg.
Fracture caused by direct impact to the elbow.
Fracture caused by direct impact to the arm.
2
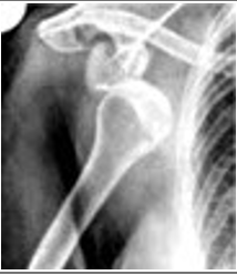
Match the correct description of the X-ray to the image.

Other Answer Choices:
A dislocation involving the humerus
A dislocation involving the elbow
A fracture involving the humerus
A fracture involving the clavicle
4
| Draggable item | arrow_right_alt | Corresponding Item |
|---|---|---|
Metatarsal fracture | arrow_right_alt | A fracture of the finger or toe |
Clavicle fracture | arrow_right_alt | A fracture of the kneecap |
Phalangeal fracture | arrow_right_alt | A fracture of the long bones of the foot |
Patella fracture | arrow_right_alt | A fracture of the collar bone |
3
Match the following descriptions to the appropriate type of fracture
Match the following descriptions to the appropriate type of fracture
| Draggable item | arrow_right_alt | Corresponding Item |
|---|---|---|
Bone break has a horizontal orientation | arrow_right_alt | Transverse Fracture |
Bone is shattered into multiple pieces | arrow_right_alt | Comminuted Fracture |
A bone split at an angle | arrow_right_alt | Spiral Fracture |
3
Match the fracture type with its description
Match the fracture type with its description
| Draggable item | arrow_right_alt | Corresponding Item |
|---|---|---|
usually the result of a strong bending force | arrow_right_alt | Comminuted Fracture |
Break caused by impact | arrow_right_alt | Spiral Fracture |
Caused by a severe twisting force | arrow_right_alt | Transverse Fracture |
3
Match the fracture with the primary cause
Match the fracture with the primary cause
| Draggable item | arrow_right_alt | Corresponding Item |
|---|---|---|
high-impact injury such as a car crash | arrow_right_alt | Spiral Fracture |
Fall where person lands on their side | arrow_right_alt | Comminuted Fracture |
Sports-related accident | arrow_right_alt | Transverse Fracture |
2
Align the fracture type to the suitable treatment
Align the fracture type to the suitable treatment
| Draggable item | arrow_right_alt | Corresponding Item |
|---|---|---|
Immobilization with a cast or brace | arrow_right_alt | Transverse Fracture |
Surgery with pins, screws or plates | arrow_right_alt | Comminuted Fracture |
2
Which cells are responsible for breaking down the bone in the remodeling phase of bone healing?
Which cells are responsible for breaking down the bone in the remodeling phase of bone healing?
2
What is the first stage in the healing process of fractures?
What is the first stage in the healing process of fractures?
2
What is the second stage in the healing of a fracture?
What is the second stage in the healing of a fracture?
2
What is the name of 1?
What is the name of 1?
2
What is the name of 15?
What is the name of 15?
2
What is the name of #4?
What is the name of #4?
2
What is the name of #6 and 11?
What is the name of #6 and 11?
2
What is the name of #14?
What is the name of #14?
2
Does #3 represent the medial or lateral side of the femur?
Does #3 represent the medial or lateral side of the femur?