Log in
Sign up for FREE
arrow_back
Library

LT 4.2a & b Meiosis Stages & Variation Quiz

star
star
star
star
star
Last updated over 1 year ago
10 questions
1
5.3a
1
5.3a
1
5.3a
1
5.3a
1
5.3a
1
5.3b
1
5.3b
1
5.3b
1
5.3b
1
5.3b
Question 1
1.

When one cell undergoes meiosis, what is the result?

Question 2
2.

A diploid animal has 12 chromosomes in its blood cell. How many chromosomes does it have in a sperm cell?

Question 3
3.

Which process is illustrated in the diagram?

Question 4
4.

The picture depicts what stage of meiosis?

Question 5
5.

Organisms that reproduce asexually have the advantage of being able to quickly colonize a new territory.  Organisms that reproduce sexually have the advantage of____.

Question 6
6.

Gametes have

Question 7
7.

Meiosis and fertilization are important for the survival of many species because these two processes result in __________________.

Question 8
8.

As a result of fertilization, which of the following normally occurs?

Question 9
9.

In sexually reproducing organisms, each parent contributes ___________ of the genes acquired by the offspring.

Question 10
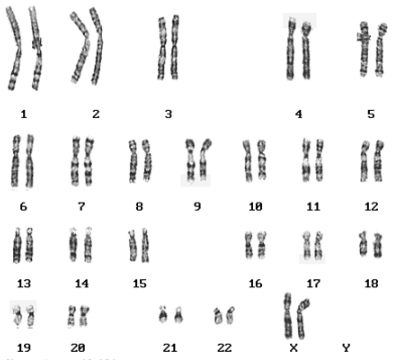
10.

Make a claim about whether the karyotype represents a healthy individual in terms of number of chromosomes present? Provide evidence and reasoning.