Log in
Sign up for FREE
arrow_back
Library

Genetics & Meiosis Test (4/10/2024)

star
star
star
star
star
Last updated almost 2 years ago
35 questions
1
1
1
1
1
1
1
1
1
1
1
1
1
1
1
1
1
1
1
1
1
1
1
1
1
1
1
1
1
1
1
1
1
1
1
Question 1
1.

Which genotype below is heterozygous?

Question 2
2.

An organism’s expressed physical trait, such as seed color, is called its:

Question 3
3.

If the allele for green pea pod color (G) is dominant over the allele for yellow pea pod color (g), which of the following genotypes would a plant with yellow pods have?

Question 4
4.

In corn plants, green (G) is dominant to yellow (g). What is the chance of two heterozygous corn plants producing yellow corn plants?

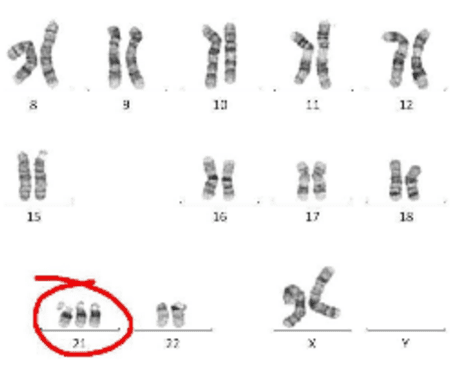
Refer to this image to answer #5.
Question 5
5.

What information is revealed in the portion of the karyotype above?

Question 6
6.

Which of the following describes an organism that has the genotype Bb?

Question 7
7.

Genes located on homologous chromosomes may have alternate forms that control different forms of a trait. These alternate forms of a gene are called _____.

Refer to this image to answer #8.
Question 8
8.

What is the genotype in the bottom left-hand quadrant in the Punnett square shown above?

Question 9
9.

A trait carried on the X or Y chromosome is said to be ________ inheritance.

Question 10
10.

The alleles contained in _____ produced by each parent are shown along the sides of a Punnett square.

Question 11
11.

A useful device for predicting the possible offspring of crosses between different genotypes is the _____.

Question 12
12.

Mendel's law of segregation states that during meiosis, the factors that control each trait separate and only _____ from each pair is/are passed to the offspring.

Question 13
13.

A couple has two children, both of whom are boys. What is the chance that the parents' next child will be a boy?

Refer to this diagramme to answer #14-15.
Question 14
14.

The type of inheritance shown when a red-flowering plant is crossed with a white-flowering plant and only pink-flowering plants are produced is _____.

Refer to this diagram to answer #16-19.
Question 15
15.

If individual III-2 (XhY)marries a person with the same genotype as individual I-1 (XHXH), what is the chance that one of their children will be afflicted with hemophilia?

Question 16
16.

What type of inheritance pattern does the trait represented by the shaded symbols in the figure above illustrate?

Question 17
17.

For the trait being followed in the pedigree, individuals II-1 and II-4 in the figure above can be classified as _____.

Question 18
18.

What is the relationship between individual I-1 and individual III-2 in the figure above?

Question 19
19.

An individual of phenotype XBXB marries an individual whose phenotype is XbY. What is the chance of the couple having a colorblind male if colorblindness is recessive (Xb)?

Question 20
20.

When red and yellow spotted beetles are mated, 1/4 of the offspring are red, 2/4 are red and yellow spotted, and 1/4 are yellow. This trait is one controlled by _____.

Question 21
21.

Two parents who have good health are surprised when their child is born with cystic fibrosis, and autosomal recessive disorder which affects the lungs and digestive system. What are the genotypes of the parents?

Question 22
22.

A man heterozygous for blood type A marries a woman heterozygous for blood type B. The chance that their child will have type O blood is _____.

Question 23
23.

What is the term for cells with two sets of chromosomes?

Question 24
24.

What process halves the number of chromosomes in cells?

Question 25
25.

What is the significance of crossing-over in meiosis?

Question 26
26.

What is shown in the image above?

Question 27
27.

At the end of meiosis, there are

Question 28
28.

How many chromosomes are in a human gamete?

Question 29
29.

An organism has 38 chromosomes in a body cell. After mitosis each cell has 38 chromosomes. After meiosis each gamete has ____________________ chromosomes.

Question 30
30.

Which process increases genetic diversity?

Question 31
31.

How are cells created in mitosis different from those in meiosis?

Question 32
32.

Which of the karyotypes shown is from a normal female?

Question 33
33.

What type of mutation is shown?

Question 34
34.

What type of mutation is shown?

Question 35
35.
For each of the genotypes below determine what phenotypes would be possible.
Purple flowers (P) are dominant to white (p), Brown eyes (B) are dominant to blue (b).
PP = __________ ; Pp = __________ ; pp = __________ ; BB = __________ ; Bb = __________ ; bb = __________