Log in
Sign up for FREE
arrow_back
Library

М'язова тканина.

star
star
star
star
star
Last updated almost 2 years ago
30 questions
Required
0
Required
1
Required
1
Required
1
Required
1
Required
1
Required
1
Required
1
Required
1
Required
1
Required
1
Required
1
Required
1
Required
1
Required
1
Required
1
Required
1
Required
1
Required
1
Required
1
Required
1
Required
1
Required
1
Required
1
Required
1
Required
1
Required
1
Required
1
1
Required
1
Question 1
1.

ПІП, курс, група

Question 2
2.

Question 3
3.

Question 4
4.

Question 5
5.

Який вид/види м'язової тканини належать до посмугованих?

Question 6
6.

Оберіть, який вид/види м'язової тканини контролюються свідомо (є довільними)?

Question 7
7.

Структурно-функціональні одиниці яких видіви м'язової тканини представлені окремими клітинами?

Question 8
8.

Оберіть, які із видів м'язової тканини здатні до повної регенерації?

Question 9
9.

Question 10
10.

Як відбувається регенерація скелетних м'язових волокон?

Question 11
11.

Як відбувається регенерація кардіоміоцитів?

Question 12
12.

Question 13
13.

Question 14
14.

Саркоплазматичний ретикулум скелетної м'язової тканини включає:

Question 15
15.

За рахунок чого відбувається скорочення гладких міоцитів?

Question 16
16.

До чого приєднуються актинові філаменти у гладких міоцитах?

Question 17
17.

Question 18
18.

Question 19
19.

Question 20
20.

Question 21
21.

Question 22
22.

Question 23
23.

Question 24
24.

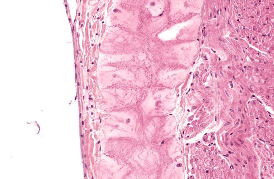
Якою цифрою позначена м'язова тканина на зображенні?

Question 25
25.

Які види/вид м’язової тканини можна знайти на зображенні?

Question 26
26.

Які види/вид м’язової тканини можна знайти на зображенні?

Question 27
27.

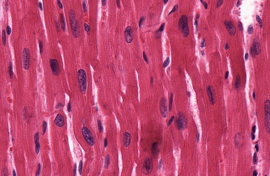
До якого типу кардіоміоцитів належать клітини в центрі?

Question 28
28.

Який вид м'язової тканини зображено на малюнку?

Question 29
29.

Знайти відповідність( по порядку зверху до низу 1-3)

Question 30
30.

Яка тканина зображена на препараті

Що є структурно-функціональною одиницею тканини на зображенні?

Фібробласт
Міотом
Кардіоміоцит
Саркомер
Міосимпласт
Що є структурно-функціональною одиницею тканини на зображенні?

Гладкий міоцит
Саркомер
Фібробласт
Міотом
Диферон
Міосимпласт
Кардіоміоцит
Що є структурно-функціональною одиницею тканини на зображенні?

Міотом
Гладкий міоцит
Фібробласт
Саркомер
Кардіоміоцит
Міосимпласт
Диферон
Які структури входять до складу зрілого скелетного м'язового волокна?
Базальна мембрана
Вставні диски
Ендомізій
Клітини-сателіти
Міобласти
Міосимпласт
Кардіоміоцити
Гладкі міоцити
За рахунок гладких міоцитів
За рахунок мезенхімних клітин
Клітини-попередниці мігрують з крові
Стовбурові клітини відсутні, тому повна регенерація неможлива
За рахунок клітин-сателітів
Клітини-попередниці мігрують з крові
Оберіть усі правильні твердження щодо вставних дисків:
Ділянка контакту кардіоміоцитів між собою
Включає нексуси
Включає десмосоми та адгезивні контакти
Включає мікроворсинки
Диск зі сполучної тканини, вставлений між клітинами
Ділянка контакту м'язових клітин з базальною мембраною
Які структури скелетного м'язу утворені пухкою волокнистою сполучною тканиною?
Епімізій
Клітини-сателіти
Міосимпласти
Перимізій
Фасція
Ендомізій
Базальна мембрана
Плазматична мембрана
Саркотубули
За рахунок тільки актинових філаментів
За рахунок тільки міозинових філаментів
За рахунок тубулінових філаментів
До альфа-актиніну телофрагм
До клітинного центру
До ендоплазматичної сітки
Як називається структура блакитного кольору?

Саркоплазматичний ретикулум
М-лінія (мезофрагма)
Z-лінія (телофрагма)
Ізотропний диск (диск І)
Смужка просвітлення (Н)
Анізотропний диск (диск А)
Актинові (тонкі) філаменти
Міозинові (товсті) філаменти
Тропоніновий комплекс
Як називається структура зеленого кольору?

Саркоплазматичний ретикулум
М-лінія (мезофрагма)
Z-лінія (телофрагма)
Ізотропний диск (диск І)
Смужка просвітлення (Н)
Анізотропний диск (диск А)
Актинові (тонкі) філаменти
Міозинові (товсті) філаменти
Тропоніновий комплекс
Як називається структура червоного кольору?

Саркоплазматичний ретикулум
М-лінія (мезофрагма)
Z-лінія (телофрагма)
Ізотропний диск (диск І)
Смужка просвітлення (Н)
Анізотропний диск (диск А)
Актинові (тонкі) філаменти
Міозинові (товсті) філаменти
Тропоніновий комплекс
Як називається структура жовтого кольору?

Саркоплазматичний ретикулум
М-лінія (мезофрагма)
Z-лінія (телофрагма)
Ізотропний диск (диск І)
Смужка просвітлення (Н)
Анізотропний диск (диск А)
Актинові (тонкі) філаменти
Міозинові (товсті) філаменти
Тропоніновий комплекс
Що саме позначено дужками на зображенні?

Саркоплазматичний ретикулум
М-лінія (мезофрагма)
Z-лінія (телофрагма)
Ізотропний диск (диск І)
Смужка просвітлення (Н)
Анізотропний диск (диск А)
Актинові (тонкі) філаменти
Міозинові (товсті) філаменти
Тропоніновий комплекс
Що саме позначено дужкою на зображенні?

Саркоплазматичний ретикулум
М-лінія (мезофрагма)
Z-лінія (телофрагма)
Ізотропний диск (диск І)
Смужка просвітлення (Н)
Анізотропний диск (диск А)
Актинові (тонкі) філаменти
Міозинові (товсті) філаменти
Тропоніновий комплекс
Що саме позначено дужкою на зображенні?

Саркоплазматичний ретикулум
М-лінія (мезофрагма)
Z-лінія (телофрагма)
Ізотропний диск (диск І)
Смужка просвітлення (Н)
Анізотропний диск (диск А)
Актинові (тонкі) філаменти
Міозинові (товсті) філаменти
Тропоніновий комплекс
Провідні (Волокна Пуркін'є)
Проміжні
Секреторні
1
2
3
Серцева
Скелетна
Гладка