AltA 3.10 Unit 3 Skeletal system test
star
star
star
star
star
Last updated 6 months ago
12 questions
Here is a link to the recording for our class session that reviewed the material in this assignment. You should use the recording to help you if you need assistance answering any of the questions from this assignment since we go over all of the material together during class time.
I will update with this year's class recording link once we complete unit 3 in class. Check the class schedule page for the most up to date calendar information.
Untitled Section
1
Imagine an archeologist said they found an "osseous knife" used by ancient humans. What would you expect the knife to be made of?
Imagine an archeologist said they found an "osseous knife" used by ancient humans. What would you expect the knife to be made of?
1
An embryo's skeletal system begins as:
An embryo's skeletal system begins as:
1
Red blood cells are produced by your:
Red blood cells are produced by your:
1
Your friend is experiencing pain in their sternum. Where would you look for damage?
Your friend is experiencing pain in their sternum. Where would you look for damage?

1
Why do dislocations usually take longer to heal than bone fractures?
Why do dislocations usually take longer to heal than bone fractures?
Patient 1: 52 y/o female experiencing severe shoulder pain after being slammed into the sand by a wave, learning how to boogie board while on vacation
2
What bone appears fractured?
What bone appears fractured?
2
Is the fractured bone part of the axial or appendicular skeleton?
Is the fractured bone part of the axial or appendicular skeleton?
2
What type of fracture do you see?Use the table above to help.
What type of fracture do you see?
Use the table above to help.
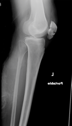
Patient 2: 38 y/o male experiencing knee pain after slipping on ice and hitting his knee on a rock
4
What 4 bones can you see in this x-ray image?
What 4 bones can you see in this x-ray image?
1
What type of injury likely occured in this patient?
What type of injury likely occured in this patient?
Disease Diary
Identify a disease or disorder that is associated with the SKELETAL SYSTEM and learn about it online, in a magazine, newspaper, etc. Complete the questions below to share with me what you’ve learned.
12
You can copy/paste the questions below into your response and then type your answer after the question. This makes it easier for me to grade your work.
A. What is the name of the disorder your researched:
B. What causes this disorder?
C. What are the signs and symptoms of someone experiencing this condition? (How would you know if you have it?)
D. What is the treatment or management for this condition?
E. How many people in the US are affected by this condition?
F. What other interesting facts about this condition did you learn in your research?
You can copy/paste the questions below into your response and then type your answer after the question. This makes it easier for me to grade your work.
A. What is the name of the disorder your researched:
B. What causes this disorder?
C. What are the signs and symptoms of someone experiencing this condition? (How would you know if you have it?)
D. What is the treatment or management for this condition?
E. How many people in the US are affected by this condition?
F. What other interesting facts about this condition did you learn in your research?
0
How did you like learning about the skeletal system?
Let me know if you need help with any assignments from this unit or would like to be invited to a small group class session on Mon at 2:30pm.
How did you like learning about the skeletal system?
Let me know if you need help with any assignments from this unit or would like to be invited to a small group class session on Mon at 2:30pm.
