Log in
Sign up for FREE
arrow_back
Library
Unit 3d: Cell Cycle Assessment
By EMILY VAUGHTERS
star
star
star
star
star
Share
share
Last updated about 2 hours ago
10 questions
Add this activity
Required
1
Required
1
Required
1
Required
1
Required
1
Required
1
Required
1
Required
1
Required
6
Required
4
Question 1
1.
Which Phase of Mitosis would be next?
Option 1
Option 2
Question 2
2.
During mitosis, the cell copies its chromosomes so that both new cells...
are identical
remain attached to each other
serve different functions
are twice the size of the parent cell
Question 3
3.
Which scientist(s) discovered that cells go through cell division
Robert Hook
Anton Von Leewonhoek
Robert Remak and Rudolph Virchow
Mattias Schleiden and Theodor Schwann
Question 4
4.
During Interphase, why does the cell need to grow in size?
because cells need to get smaller and smaller as they reproduce
so that cells don't get too small as they reproduce
so that the cells die at different times
because cells need less space as they reproduce
Question 5
5.
What is the purpose of mitosis?
to help with breathing
to give you energy for activities
to make cells larger
to make new, identical cells for growth and repair
Question 6
6.
Which of the following phases does the cell spend the MOST time in?
Interphase
Metaphase
Telophase
Cytokinesis
Question 7
7.
What is the correct order of the cell cycle?
Interphase, metaphase, anaphase, cytokinesis, telophase, prophase
Prophase, metaphase, anaphase, cytokinesis, interphase, telophase
Prophase, anaphase, telophase, metaphase, interphase, cytokinesis
Interphase, prophase, metaphase, anaphase, telophase, cytokinesis
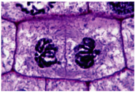
Question 8
8.
Which phase of plant cell mitosis is shown in the image ?
Prophase
Metaphase
Anaphase
Telophase
Question 9
9.
Question 10
10.
Option 3
Option 4