Genetics Test 2018
star
star
star
star
star
Last updated over 7 years ago
28 questions
Note from the author:
genetics test
1
What resulted when Mendel crossed a dominant purple-flowered plant with a recessive white-flowered plant?
What resulted when Mendel crossed a dominant purple-flowered plant with a recessive white-flowered plant?
1
Complete the punnett square problem below. Use must draw the punnett square yourself.
A homozygous dominate rabbit in crossed with a heterozygous rabbit.
Complete the punnett square problem below. Use must draw the punnett square yourself.
A homozygous dominate rabbit in crossed with a heterozygous rabbit.
1
Define the Law of Independent Assortment.
Define the Law of Independent Assortment.
1
Which of the following is an example of a inheritable biological trait?
Which of the following is an example of a inheritable biological trait?
1
Which is an example of the law of segregation?
Which is an example of the law of segregation?
1
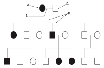
Is this individual a boy or a girl?
Is this individual a boy or a girl?
1
Which is an example of independent assortment?
Which is an example of independent assortment?
1
Which of the following is an example of a heterozygous genotype?
Which of the following is an example of a heterozygous genotype?
1
Describe what A is pointing towards. (HINT: gender, what is its genotype?)
Describe what A is pointing towards. (HINT: gender, what is its genotype?)
1
What is the phenotypic ratio for question 23?
What is the phenotypic ratio for question 23?
1
Define the Law of Segregation.
Define the Law of Segregation.
1
What is the genotypic ratio for question 23?
What is the genotypic ratio for question 23?
1
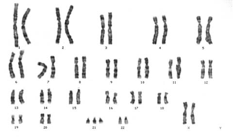
Are there any numbers that have an extra chromosome or not enough chromosomes? If so which one and describe it.
Are there any numbers that have an extra chromosome or not enough chromosomes? If so which one and describe it.
1
What is the geneotypic frequency?
What is the geneotypic frequency?
1
Which of the following is an example of a homozygous dominant genotype?
Which of the following is an example of a homozygous dominant genotype?
1
What is the phenotypic frequency?
What is the phenotypic frequency?
1
Place the following words and phrases in the correct catergoy.
Place the following words and phrases in the correct catergoy.
- Haploid
- Diploid
- 4 Different Cells
- 2 Identical Cells
- One Set of Chromosomes in Each Cell
- 2 Sets of Chromosomes in Each Cell
- Beginning of Meiosis
- End of Meiosis
1
Which of the following is an example of a genotype? (mark all that apply)
Which of the following is an example of a genotype? (mark all that apply)
1
What is the phenotypic ratio for question 19?
What is the phenotypic ratio for question 19?
1
Which of the following is an example of a homozygous recessive genotype?
Which of the following is an example of a homozygous recessive genotype?
1
How many offspring in the second generation contributed to the third generation?
How many offspring in the second generation contributed to the third generation?
1
What is the genotypic ratio for question 19?
What is the genotypic ratio for question 19?
1
_______________ is the study of biological inheritance patterns and variation.
_______________ is the study of biological inheritance patterns and variation.
1
Complete the punnett square problem below. Use must draw the punnett square yourself.
A homozygous reccessive soft rabbit in crossed with a heterozygous rabbit.
Complete the punnett square problem below. Use must draw the punnett square yourself.
A homozygous reccessive soft rabbit in crossed with a heterozygous rabbit.
1
Describe what C is pointing towards. (HINT: gender, what is its genotype?)
Describe what C is pointing towards. (HINT: gender, what is its genotype?)
1
Which of the following is an example of a phenotype? (mark all that apply)
Which of the following is an example of a phenotype? (mark all that apply)
1
How many chromosomes should be above each number?
How many chromosomes should be above each number?
1
How many offspring in the second generation express the trait?
How many offspring in the second generation express the trait?

